REV ARGENT COLOPROCT | 2020 |
REPORTE DE CASO
Cáncer Escamoso Asentado sobre Sinus Pilonidal Recurrente: la Evolución de una Patología Benigna y Frecuente a una Causa de Muerte Infrecuente
Inés Cañas García, Lucena Miriam Alcaide, Maria Sol Zurita Saavedra, Benito Mirón Pozo
Hospital Clínico San Cecilio, Servicio de Cirugía General y Aparato Digestivo. Granada, España.
RESUMEN
El sinus pilonidal es una patología frecuente cuya malignización es infrecuente aunque su pronóstico puede ser fatal. El objetivo de esta publicación es presentar un caso de un paciente intervenido en múltiples ocasiones de escisiones de sinus pilonidal con degeneración maligna del mismo y evolución fatal, con el fin de recalcar la importancia del examen anatomopatológico sistemático de todas las muestras de escisión quirúrgica.
Palabras clave: Sinus; Pilonidal; Carcinoma; Escamoso
ABSTRACT
The pilonidal sinus is a frequent pathology whose malignization is uncommon although its prognosis can be fatal. The objective of this publication is to present a case of a patient intervened on multiple occasions of pilonidal sinus excisions with malignant degeneration and fatal evolution, in order to emphasize the importance of the systematic pathological examination of all surgical excision samples.
Keywords: Sinus; Pilonidal; Carcinoma; Squamous
CASO CLÍNICO
Se expone el caso de un hombre de 49 años con antecedente de intervención quirúrgica por sinus pilonidal en 2003 y 2015, con resultado anatomopatológico benigno en ambos casos. Posterior recidiva local de la lesión a los 16 meses tras la última recidiva, requiriendo nueva escisión en bloque. El resultado anatomopatológico de esta última intervención informó de carcinoma escamoso infiltrante. Se presenta el caso en Comité Oncológico Multidisciplinar decidiendo adyuvancia con 3 ciclos de cisplatino a dosis altas >80mg/m2 y una dosis total de radioterapia de 46 Gy. Presentó una evolución tórpida con radiodermitis secundaria a la radioterapia con sucesivas sobreinfecciones y aparición de nuevas lesiones nodulares alrededor de la cicatriz, cuya biopsia confirmó la recidiva de la enfermedad. En un principio se realizan nuevas escisiones de tejido que no controlan la diseminación, encaminando la fatal evolución al éxitus.

Figura 1: Sinus pilonidal malignizado que asienta sobre radiodermitis post-radioterapia e invasión local de la enfermedad.

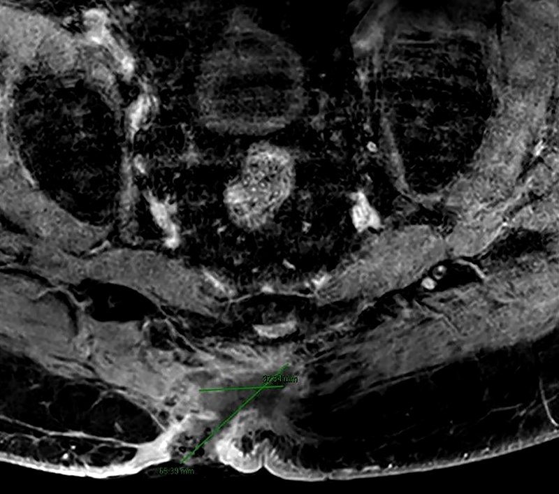
Figura 2: RMN como estadiaje de afectación local. Afectación desde plano muscular y fascia prevertebral hasta tejido cutáneo.

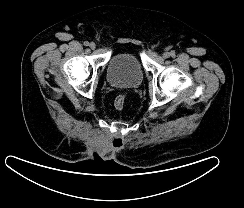
Figura 3: TAC pélvico con contraste IV como estadiaje de afectación local. Se aprecia sobreinfección de tumoración con burbuja de gas
CONCLUSIONES
El sinus pilonidal es una patología frecuente que habitualmente asienta sobre la región sacrococcígea. La malignización a carcinoma escamoso es infrecuente, y ocurre aproximadamente en el 0,1% de los casos,1 que se relaciona con un peor pronóstico si los comparamos con el carcinoma epidermoide de distinto origen. Se hace por tanto necesario el análisis sistemático de todas las muestras de escisión.2
El crecimiento es lento, con tendencia a la invasión local y metastásica ganglionar inguinal, ilíaca y paraaórtica.3 El estudio preoperatorio debe incluir, además de una recto- sigmoidoscopia, pruebas de imagen como TC o RMN para estadiaje local y a distancia.4
La escisión quirúrgica oncológica es el gold estantard, y se indica cuando no hay evidencia de enfermedad metastásica. Incluye la exéresis de la fascia presacra, glúteo mayor y un amplio margen de piel y tejido celular subcutáneo.5 La disección ganglionar inguinal sistemática no está recomendada. Tras la cirugía, la recurrencia local es frecuente, en torno al 34-50%, aunque algunos autores sugieren la mejoría en las cifras de supervivencia con quimio-radioterapia adyuvante.
BIBLIOGRAFÍA
COMENTARIO
En el caso clínico presentado por el grupo de Granada, España se describe un paciente de sexo masculino de 49 años de edad. En la recurrencia de un quiste sacrococcigeo se evidencia un carcinoma epidermoide en el estudio anatomopatológico. A pesar del tratamiento oncológico instaurado el desenlace fue fatal en pocos meses, con importante invasión local a nivel óseo (sacro) y a nivel de los ganglios linfáticos regionales.
La enfermedad pilonidal es una enfermedad benigna, pero en contados casos publicados en la literatura se pudo objetivar la transformación maligna a carcinoma epidermoide, con una incidencia global menor al 0,1% de todos los quistes sacrococcígeos recidivados.
Es importante destacar que todos los quistes sacrococcigeos tienen que ser enviados para el estudio anatomopatológico debido al posible hallazgo de malignidad de en la pieza.
Mariano Laporte
Hospital Alemán. C.A.B.A., Buenos Aires.