PORTADA
1-TÍTULO: Intususcepción intestinal en adultos: Una forma de presentación infrecuente del adenocarcinoma de Ciego
2-AUTORES:
•
Perez Dominguez Rocio, MAAC- Miembro Adherente
de la SACP. ORCID 0001-8347-0849.
•
Candia, Guillermina, Residente Higa San Roque.
ORCID 0000-0003-2515-8923
•
Martiarena, Rosario. Staff Higa San Roque. ORCID 0001-8347-0849
•
Santilli Hernán Alejandro, MAAC-Miembro
Adherente de la SACP. ORCID 0001-6749-0655.
•
Schlain Sergio, MAAC-Miembro Adherente de la SACP.
ORCID 0002-5615-3503.
3-DEPARTAMENTOS O INSTITUCIONES: Hospital Interzonal General de Agudos San Roque, Gonnet .
4-CONFLICTOS DE INTERÉS: No se presentan conflictos de interés
5-AUTOR CORRESPONSAL:
• Dr. Sergio Fernando Schlain, MAAC-Miembro adherente de la SACP
• mail: sergiofschlain@gmail.com
• Dirección Postal: Calle 21 C Número 2152 e/454 y 455 City Bell, CP (1896).
• Tel: 0221 5030669
PUEDE PUBLICARSE LA DIRECCIÓN ELECTRÓNICA
RESUMEN
Introducción: La invaginación intestinal constituye una causa poco frecuente de obstrucción mecánica del adulto correspondiendo solo a un 5% de todas las causas de oclusión intestinal del adulto, siendo la localización más frecuente el intestino delgado, seguida de la ileocólica y la colocólica.
Las causas son tanto benignas como malignas. En pacientes adultos la principal está dada por los tumores malignos en un 65%, con lo cual el tratamiento resectivo debería de ser de elección. Suele presentarse con síntomas poco específicos como dolor abdominal, distensión, náuseas, vómitos, sangrado o cambios en el hábito evacuatorio.
La tomografía computarizada es la modalidad diagnóstica más sensible, sumada a otros métodos complementarios, como la ecografía y endoscopia, aumenta la sensibilidad diagnóstica. Es de suma importancia un diagnóstico temprano y un tratamiento oportuno para evitar complicaciones asociadas a la libre evolución.
Caso Clínico: Paciente femenina de 93 años que consulta por dolor abdominal cólico difuso, intermitente, de tres meses de evolución, diarrea y pérdida de peso. Al examen físico se objetiva una masa palpable en región epigástrica, de más de 15 cm de extensión. La tomografía abdominopélvica evidencia a nivel centro-abdominal y con extensión hacia flanco izquierdo extensa imagen redondeada con estructuras vasculares en su interior y contenido aéreo compatible con intususcepcion intestinal (invaginacion colocolónica). Se realiza laparotomía evidenciando intususcepción del ciego alcanzando tercio distal del colon transverso. Se identifica voluminoso tumor cecal, se realiza hemicolectomía derecha con criterio oncológico y anastomosis primaria.
Conclusiones: La intususcepción en el adulto es una condición poco frecuente pero desafiante para el cirujano actuante, patología a tener en cuenta en el diagnóstico primario de un abdomen agudo. Representa una patología compleja, siendo la resolución quirúrgica la opción de elección, ya que a menudo se asocia a una lesión orgánica que requiere intervención quirúrgica debido al alto riesgo de malignidad. Es importante que los cirujanos sospechen este diagnóstico para evitar complicaciones tales como isquemia intestinal, perforación o lesión maligna sin diagnosticar.
Palabras clave: dolor abdominal; intususcepción intestinal; obstrucción intestinal.
ABSTRACT
Introduction: Intestinal intussusception is a rare cause of mechanical obstruction in adults, corresponding to only 5% of all causes of intestinal obstruction in adults, with the most frequent location being the small intestine, followed by the ileocolic and colic.
The causes are both benign and malignant. In adult patients, the main one is given by malignant tumors in 65%, with which resective treatment should be the choice. It usually presents with non-specific symptoms such as abdominal pain, bloating, nausea, vomiting, bleeding or changes in bowel habits.
Computed tomography is the most sensitive diagnostic modality, added to other complementary methods, such as ultrasound and endoscopy, it increases diagnostic sensitivity. Early diagnosis and timely treatment are of the utmost importance to avoid complications associated with free evolution.
Clinical Case: A 93-year-old female patient who consulted for diffuse colic abdominal pain, intermittent, of three months of evolution, diarrhea and weight loss. Physical examination revealed a palpable mass in the epigastric region, more than 15 cm in length. The abdominopelvic tomography shows a central-abdominal level and with extension towards the left flank, a rounded image with vascular structures inside and air content compatible with intestinal intussusception (colocolonic invagination). Laparotomy was performed, evidencing intussusception of the cecum reaching the distal third of the transverse colon. A voluminous cecal tumor is identified, a right hemicolectomy is performed with oncological criteria and primary anastomosis.
Conclusions: Intussusception in adults is a rare but challenging condition for the acting surgeon, a pathology to be taken into account in the primary diagnosis of an acute abdomen. It represents a complex pathology, with surgical resolution being the option of choice, since it is often associated with an organic lesion that requires surgical intervention due to the high risk of malignancy. It is important for surgeons to suspect this diagnosis to avoid complications such as intestinal ischemia, perforation, or undetected malignancy.
Keywords: abdominal pain; intestinal intussusception; Intestinal obstruction.
Intususcepción intestinal en adultos: Una forma de presentación infrecuente del adenocarcinoma de Ciego
INTRODUCCIÓN
La invaginación intestinal constituye una causa poco frecuente de obstrucción mecánica del adulto correspondiendo solo a un 5% de todas las causas de oclusión intestinal del adulto , de las cuales un 70-90% requerirán tratamiento quirúrgico. La localización más frecuente es el intestino delgado, seguida de la ileocólica y la colocólica.
Las causas de esta entidad son tanto benignas como malignas. En pacientes adultos la principal causa está dada por los tumores malignos en un 65%, con lo cual el tratamiento resectivo debería de ser de elección. Suele presentarse con síntomas poco específicos, solapados, asociados a obstrucción como dolor abdominal, distensión, náuseas, vómitos, sangrado o cambios en el hábito evacuatorio.
La tomografía computarizada es la modalidad diagnóstica más sensible, aunque pueden presentar falsos negativos, con lo que utilizada en conjunto con otros métodos complementarios, como ecografía y endoscopia, aumenta la sensibilidad diagnóstica. Es de suma importancia un diagnóstico temprano y un tratamiento oportuno para evitar complicaciones asociadas a la libre evolución.
El objetivo de este trabajo es la presentación de un caso poco frecuente de intususcepción colocólica en un paciente adulto con sintomatología atípica.
PRESENTACIÓN DE CASO
Paciente femenina de 93 años de edad que acude al Servicio de Urgencias por dolor abdominal cólico difuso, intermitente, de tres meses de evolución, con exacerbación en los últimos siete días, acompañado de deposiciones líquidas frecuentes y pérdida de peso de más de 10 kg en los últimos tres meses. Antecedentes personales: Insuficiencia cardíaca. Como antecedentes quirúrgicos se encuentra colecistectomizada mediante una incisión paramediana derecha y dos cesáreas ( incisión tipo Pfannenstiel).
Examen físico: aceptable estado general, con marcada repercusión nutricional, abdomen blando, depresible con dolor abdominal a la palpación profunda de forma generalizada asociado a una masa palpable en hemiabdomen superior, dura, parcialmente móvil, con un diámetro mayor a 15 cm.
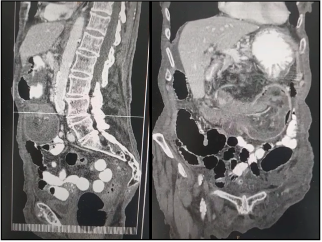
Tomografía abdominopélvica con contraste oral y endovenoso: Se observa derrame pleural bilateral. Por otra parte, a nivel centroabdominal y con extensión hacia flanco izquierdo se identifica extensa imagen redondeada con estructuras vasculares en su interior y contenido aéreo compatible con intususcepcion intestinal (invaginacion colocolónica) con una extensión aproximada de 10cm con refuerzo parietal ante la administración de contraste endovenoso. Presencia de moderado líquido libre multicompartimental, sin evidencia de niveles hidroaéreos.

IMAGEN 1. Tomografía axial que evidencia invaginación colocolónica.

IMAGEN 2. A) Corte sagital. B) Corte coronal evidenciando invaginación colocolónica.
Videocolonoscopia: se explora hasta topografía de colon izquierdo con buena preparación, donde se observa invaginación intestinal, a expensas de lesión vegetante, por segmentos necrosada, ulcerada y friable al tacto endoscópico que ocupa el 100% de la luz, no permitiendo el paso del mismo, se realizan maniobras de desinvaginación, las cuales no son efectivas.

Conducta: laparotomía exploradora evidenciando intususcepción del ciego, el cual se encontraba francamente móvil, hacia el colon ascendente, alcanzando tercio distal del colon transverso. Se realizan intensas maniobras de taxis identificando un tumor cecal voluminoso que actúa como pie de la intususcepción. Se realiza hemicolectomía derecha con criterio oncológico y anastomosis primaria.

IMAGEN 3. A) Intususcepción. B) Exteriorización del íleon terminal - colon transverso. C) Pie de invaginación.

IMAGEN 4. A) Hemicolectomía derecha. B) Pie de invaginación (tumor).
Estudio anatomopatológico: adenocarcinoma escasamente diferenciado de colon, márgenes quirúrgicos negativos, 0/18 ganglios linfáticos resecados positivos para malignidad. Estadio pT4a pN0 pM0.
La paciente evoluciona favorablemente con tolerancia a la dieta al 4to día postoperatorio, sin complicaciones.
DISCUSIÓN
Reportado por primera vez en 1674 por Barbette de Amsterdam y presentado en 1789 por John Hunter como "introsuscepción", la invaginación intestinal es una forma rara de obstrucción intestinal en el adulto, que se define como la extensión telescópica de un segmento proximal del tracto gastrointestinal, llamado invaginación intestinal, hacia la luz del segmento distal adyacente del tracto gastrointestinal, llamado intussuscipiens1.
Alrededor del 5% de los casos de invaginación intestinal ocurren en adultos, siendo esta la responsable del 1-5 % de las causas de obstrucción intestinal, con una incidencia de 2-3 casos por cada 1,000,000 personas/año2. Algunas series reportan una pequeña predominancia en mujeres de 1.85:1.2 respectivamente.
En el 90% de las intususcepciones en adultos se encuentra una condición patológica primaria que actúa como pie de la invaginacion, pudiendo corresponder a neoplasias benignas como pólipos, o malignas, como en el caso de los adenocarcinomas, linfomas o una enfermedad metastásica.
Las intususcepciones ocurren frecuentemente entre un segmento de intestino libre y un segmento fijo donde un movimiento peristáltico alterado del intestino proximal se invagina en el lumen intestinal distal junto con su pliegue mesentérico, siendo la invaginación de un segmento de intestino, en el lumen de la porción adyacente. Esta extensión puede resultar en obstrucción o compresión de la vasculatura intestinal, pudiendo llevar a la isquemia, infarto o perforación.
La localización más frecuente es el intestino delgado (49,5%), seguida de la ileocólica (29,1%) y de la colocólica (19,9%). En adultos la causa más frecuente los tumores benignos (37,4%), seguida de los malignos (32,9%) y la etiología idiopática (15,1%)3,4,5.En las invaginaciones colocólicas, los tumores malignos son la causa en el 46,5% de los casos, teniendo en primer lugar al adenocarcinoma de colon (78,8%), seguido del linfoma y los tumores metastásicos. El adenocarcinoma de colon transverso propiamente dicho supone solo el 2,6% de todas las invaginaciones intestinales en adultos y el 10% de las invaginaciones colocólicas6.
La intususcepción en el adulto se presenta con síntomas poco específicos, subagudos o crónicos asociados a obstrucción parcial: dolor abdominal, distensión, náuseas, vómitos, sangrado gastrointestinal, constipación y cambios en el hábito evacuatorio. Pueden presentarse de manera solapada y crónica por semanas o meses, o tener un inicio agudo.
Gran parte de las series revisadas reportan el dolor abdominal como síntoma principal en el 71% al 90% de los casos, siendo este un dolor periódico e intermitente asociado a síntomas obstructivos, vómitos y proctorragia. Rara vez se documenta la tríada clásica observada en pacientes pediátricos caracterizada por dolor abdominal, heces con sangre y una masa abdominal palpable, siendo este último dato, positivo en el 24-42% en los adultos7,8. No obstante un dato no menor a mencionar es la diarrea, síntoma poco frecuente que representa menos de la mitad de los casos de la bibliografía consultada, en un 20.1% 4,5, lo cual hace aún más infrecuente el caso presentado donde fue el motivo de consulta principal asociado a dolor abdominal.
Las radiografías abdominales simples suelen ser la primera herramienta diagnóstica, ya que en la mayoría de los casos los síntomas obstructivos dominan en el cuadro clínico. Tales radiografías suelen mostrar signos de obstrucción intestinal y pueden proporcionar información sobre el sitio de la obstrucción. La ecografía puede detectar características típicas de intususcepción como el signo de diana o dona en una imagen transversa y el signo del pseudorriñón en la imagen longitudinal. Sin embargo, la obesidad y la presencia de aire en las asas intestinales distendidas limitan la calidad de la imagen y la posterior precisión diagnóstica9.
La tomografía abdomino-pélvica con contraste oral, es la técnica de elección en la evaluación de pacientes con abdomen agudo obstructivo pudiendo identificar la etiología. Se estima una sensibilidad del 58% al 100 % y una especificidad del 57% al 71% en el reconocimiento de la invaginación intestinal3, pudiendo definir la ubicación, naturaleza de la masa y relación con los tejidos circundantes. Tres son las imágenes descriptas de acuerdo a la severidad y duración del proceso, por un lado el signo de diana que suele aparecer en la etapa más temprana, corresponde a la imagen del intussuceptum en el centro y el intususcipiens edematoso en los anillos externos; luego una imagen en “forma de salchicha” que representa la grasa con los vasos mesentéricos y la pared intestinal; y por último una masa reniforme o bilobulada que se desarrolla debido al edema, engrosamiento de la pared intestinal y compromiso vascular.
La colonoscopia permite identificar la intususcepción y su ubicación, pudiendo tomar biopsia en el caso de que se presente una lesión orgánica primaria. Sin embargo, se debe tener precaución con la biopsia colonoscópica, debido al riesgo de perforación resultante de isquemia tisular crónica y el compromiso vascular10.
Mientras que en la etapa pediátrica la intususcepción se considera una condición primaria y benigna, en el 90% de los casos en adultos es secundaria a una condición patológica o estructural desencadenante la cual se diagnostica frecuentemente de manera intraoperatoria.
De las invaginaciones intestinales que se desarrollan en el colon, el 70% afectan al colon derecho, mientras que las invaginaciones del colon izquierdo y el sigmoides son raras. En casos de intususcepción del colon ascendente se debe intentar la resección y anastomosis primaria, mientras que en casos de intususcepción de sigmoides, se recomienda la resección con colostomía8.
Debido al alto riesgo de malignidad asociado estimado en un 65%, no se encuentra indicada la reducción preoperatoria11 con bario o aire debido a los riesgos asociados, como son la siembra intraluminal, diseminación tumoral, perforación o siembra de microorganismos y células tumorales . Por lo tanto, del 70 al 90% de los casos de intususcepción en adultos requieren un tratamiento definitivo, de los cuales la resección quirúrgica es, con mayor frecuencia, el tratamiento de elección2. No obstante, es importante tener en cuenta la sintomatología asociada y, en base a la misma, establecer estudios que permitan descartar el origen tumoral si no se hizo con anterioridad, el diámetro y longitud de la invaginación, la presencia o no de lesión asociada, tipo de invaginación, son predictores de resolución espontánea del proceso.
CONCLUSIÓN
La intususcepción en el adulto es una condición poco frecuente pero desafiante para el cirujano actuante, patología a tener en cuenta en el diagnóstico primario de un abdomen agudo. El diagnóstico preoperatorio continúa siendo un desafío, dado que los signos y síntomas son inespecíficos, agudos, subagudos o crónicos.
Representan una patología compleja con múltiples opciones terapéuticas, siendo la resolución quirúrgica la opción de elección, ya que a menudo se asocia a una lesión orgánica que requiere intervención quirúrgica debido al alto riesgo de malignidad. Si bien el abordaje laparoscópico puede ser factible en casos de intususcepción, al tratarse de una invaginación voluminosa se optó por realizar una laparotomía mediana que permita realizar maniobras de taxis adecuadas y reducir los tiempos operatorios teniendo en cuenta las comorbilidades de la paciente.. Es importante que los cirujanos sospechen este diagnóstico para evitar complicaciones tales como isquemia intestinal, perforación o lesión maligna sin diagnosticar.
BIBLIOGRAFÍA
1.
Lianos
G, Xeropotamos N, Bali C, Baltoggiannis G, Ignatiadou E. Adult bowel
intussusception: presentation, location, etiology, diagnosis and treatment. G
Chir. 2013 Sep-Oct;34(9-10):280-3.
2.
Marinis
A, Yiallourou A, Samanides L, Dafnios N, Anastasopoulos G, Vassiliou I,
Theodosopoulos T. Intussusception of the bowel in adults: a review. World J
Gastroenterol. 2009 Jan 28;15(4):407-11.
3.
Hong,
K.D., Kim, J., Ji, W. et al. Adult intussusception: a systematic review and
meta-analysis. Tech Coloproctol. 2019; 23, 315–324.
4.
Gras Gomez C, Ruiz Pardo J, Sánchez Fuentes PA, Vidaña Márquez E, Moya P,
Reina Duarte A. Invaginación de colon transverso secundaria a adenocarcinoma
colorrectal: una causa extremadamente infrecuente de dolor abdominal en
adultos. Cir Andal. 2022;33(1):40-42.
5.
Panzera F, Di Venere B, Rizzi M, Biscaglia A, Praticò CA,
Nasti G, Mardighian A, Nunes TF, Inchingolo R. Bowel intussusception in adult:
Prevalence, diagnostic tools and therapy. World J Methodol. 2021 May
20;11(3):81-87.
6.
Amr
MA, Polites SF, Alzghari M, Onkendi EO, Grotz TE, Zielinski MD. Intussusception
in adults and the role of evolving computed tomography technology. Am J Surg.
2015 Mar;209(3):580-3.
7.
Yalamarthi S, Smith RC. Adult intussusception: case reports
and review of literature. Postgrad Med J. 2005 Mar;81(953):174-7.
8.
Azar T, Berger DL. Adult intussusception. Ann Surg. 1997
Aug;226(2):134-8.
9.
Erkan N, Haciyanli M, Yildirim M, Sayhan H, Vardar E, Polat
AF. Intussusception in adults: an unusual and challenging condition for
surgeons. Int J Colorectal Dis. 2005 Sep;20(5):452-6.
10.
Marsicovetere P, Ivatury SJ, White B, Holubar SD. Intestinal
Intussusception: Etiology, Diagnosis, and Treatment. Clin Colon Rectal Surg.
2017 Feb;30(1):30-39.
11. Alvayay
Quilodrán P y col. Invaginaciones intestinales:
evaluación por imágenes. Acta
Gastroenterol Latinoam 2015;45(4):323-332