Artículo original
Divertículo de Meckel complicado. Experiencia de 15 años
en un hospital interzonal de la Provincia de Buenos Aires
Rocío Pérez Domínguez, Guillermina Candia, Hernán Alejandro Santilli, Sergio Schlain
Hospital Interzonal General de Agudos San Roque, Gonnet, Buenos Aires
Los autores declaran ausencia de conflictos de interés.
Sergio Fernando Schlain: sergiofschlain@gmail.com
Recibido: octubre de 2022. Aceptado: julio de 2023
Rocío Pérez Domínguez: https://orcid.org/0001-8347-0849.
Guillermina Candia: https://orcid.org/ORCID 0000-0003-2515-8923
Hernán Alejandro Santilli: https://orcid.org/0001-6749-0655.
Sergio Schlain: https://orcid.org/0002-5615-3503.
RESUMEN
Introducción: el divertículo de Meckel es la anomalía congénita más frecuente del tracto gastrointestinal. Puede presentarse con hemorragia, obstrucción intestinal o diverticulitis, complicaciones que disminuyen con la edad, por lo que en el adulto el diagnóstico suele ser incidental. El tratamiento de las complicaciones es quirúrgico, mediante diverticulectomía o resección segmentaria del intestino delgado, dependiendo de sus características morfológicas.
Objetivo: analizar nuestra experiencia en el manejo del divertículo de Meckel complicado en un período de 15 años.
Diseño: estudio descriptivo, observacional, transversal, retrospectivo.
Material y métodos: se revisaron las historias clínicas de los pacientes operados por divertículo de Meckel complicado en el Servicio de Cirugía General del Hospital San Roque durante el periodo 2007-2022. Se registraron datos demográficos, presentación clínica, diagnóstico preoperatorio, tratamiento quirúrgico, complicaciones postoperatorias y hallazgos histopatológicos.
Resultados: se incluyeron 25 pacientes, 21 (84%) hombres, 3 menores de 18 años. La presentación clínica fue un síndrome de fosa iliaca derecha en el 80% de los casos, obstrucción intestinal en el 16% y hemorragia en el 4%. En solo 2 casos se realizó el diagnóstico preoperatorio, confirmado mediante tomografía computada. Se realizó diverticulectomía en el 68% de los pacientes y resección segmentaria el 32%. El abordaje fue laparotómico en el 64%, principalmente en el periodo inicial y laparoscópico en el 36%. Hubo una complicación IIIb de Clavien-Dindo en un paciente pediátrico tratado con drenaje percutáneo. En un solo paciente (4%), que se presentó con hemorragia digestiva masiva, se encontró epitelio de tipo gástrico y páncreas ectópico en el divertículo.
Conclusiones: En nuestra experiencia el divertículo de Meckel complicado se presentó predominantemente en hombres. La complicación más frecuente en el adulto fue la diverticulitis. El diagnóstico preoperatorio fue infrecuente y realizado por tomografía computada. La diverticulectomía es suficiente en la mayoría de los casos. Actualmente, la laparoscopia es una herramienta segura, rentable y eficiente que permite el diagnóstico y tratamiento oportunos de esta entidad.
Palabras clave: divertículo de Meckel, adulto, dolor abdominal, diverticulitis, obstrucción intestinal, sangrado intestinal, tratamiento quirúrgico
ABSTRACT
Introduction: Meckel's diverticulum is the most common congenital malformation of the gastrointestinal tract. It can present with bleeding, intestinal obstruction or diverticulitis, complications that decrease with age, so in adults the diagnosis is usually incidental. Treatment of complications is surgical, through diverticulectomy or segmental resection of the small intestine, depending on its morphological characteristics.
Objective: to analyze our experience in the management of complicated Meckel's diverticulum over a period of 15 years.
Design: descriptive, observational, cross-sectional, retrospective study. Materials and methods: the medical records of patients operated on for complicated Meckel's diverticulum in the General Surgery Service of the San Roque Hospital during the period 2007-2022 were reviewed. Demographic data, clinical presentation, preoperative diagnosis, surgical treatment, postoperative complications, and histopathological findings were recorded.
Results: twenty-five patients were included, 21 (84%) men, 3 under 18 years of age. The clinical presentation was a right iliac fossa syndrome in 80% of cases, intestinal obstruction in 16% and hemorrhage in 4%. In only 2 cases was the preoperative diagnosis made, confirmed by computed tomography. Diverticulectomy was performed in 68% of patients and segmental resection in 32%. The approach was by laparotomy in 64%, mainly in the initial period, and by laparoscopy in 36%. There was a Clavien-Dindo IIIb complication in a pediatric patient treated with percutaneous drainage. In only one patient (4%), who presented with massive gastrointestinal bleeding, gastric-type epithelium and ectopic pancreas were found in the diverticulum.
Conclusions: In our experience, complicated Meckel's diverticulum occurred predominantly in men. The most frequent complication in adults was diverticulitis. Preoperative diagnosis was infrequent and was made by computed tomography. Diverticulectomy is sufficient in most cases. Currently, laparoscopy is a safe, profitable and efficient tool that allows for the timely diagnosis and treatment of this entity.
Keywords: Meckel's diverticulum, adult, abdominal pain, diverticulitis, intestinal obstruction, intestinal bleeding, surgical treatment
INTRODUCCIÓN
El divertículo de Meckel es la malformación congénita más frecuente del tracto gastrointestinal con una incidencia del 0,3-2,9%.1 Representa la involución incompleta del conducto onfalomesentérico que normalmente se oblitera entre la quinta y séptima semana de vida intrauterina.
Suele ser asintomático o resultar un hallazgo intraoperatorio en cirugías por otras patologías abdominales. Puede presentarse con síntomas de hemorragia, obstrucción intestinal o diverticulitis, variando según la edad en la que se presente, por lo que, en ocasiones, se lo ha denominado “el gran simulador”. Estas complicaciones disminuyen con la edad, por este motivo, el diagnóstico de divertículo de Meckel en el adulto suele ser incidental. A pesar de que solo un bajo porcentaje de la población adulta puede sufrir complicaciones a lo largo de la vida, sus consecuencias pueden ser graves.
Para el diagnóstico, los estudios de imagen tienen baja sensibilidad y especificidad, en cambio, la laparoscopia exploratoria es una herramienta importante.
El tratamiento quirúrgico con resección del divertículo es mandatorio ante la presencia de complicaciones, pero sigue siendo discutible cuando se encuentra de forma incidental. La resección intestinal seguida de anastomosis parece preferible a la resección en cuña o a la sutura mecánica latero-lateral debido al riesgo de dejar mucosa heterotópica anormal.
El objetivo de esta presentación es comunicar la experiencia de 15 años en un hospital interzonal de la provincia de Buenos Aires.
MATERIAL Y MÉTODOS
Se llevó a cabo un estudio descriptivo, observacional, retrospectivo, transversal, analizando las historias clínicas del Servicio de Cirugía General del Hospital San Roque durante el periodo 2007-2022. Se incluyeron todos los pacientes que concurrieron con patología abdominal aguda por un divertículo de Meckel complicado, excluyendo los de aparición incidental.
RESULTADOS
Distribución por edad y sexo
Se incluyeron 25 pacientes en el período de estudio de 15 años, es decir, 1,66 casos por año, con un rango de edad de 7 a 61 años. Veintiún pacientes (84%) eran hombres, 3 menores de 18 años de edad, y 4 (16%) eran mujeres.
Presentación clínica
La presentación clínica más frecuente fue el síndrome de fosa ilíaca derecha en 20 pacientes, seguida de obstrucción intestinal en 4 y hemorragia digestiva en 1 (Fig. 1).

Figura 1. Formas de presentación del divertículo de Meckel complicado en los 25 pacientes de la serie.
Métodos de diagnóstico
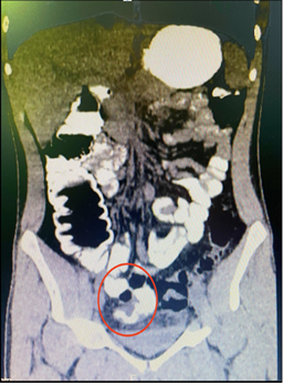
El diagnóstico de abdomen agudo se llevó a cabo mediante el examen físico y estudios complementarios. El hemograma demostró la presencia de neutrofilia. En la totalidad de los pacientes se realizó radiografía de abdomen de pie, observando niveles hidroaéreos de intestino delgado en los casos presentados con síntomas obstructivos. En 6 casos se realizó ecografía abdominal, que evidenció escaso líquido libre en fosa iliaca derecha. Solo en 2 pacientes con sospecha de divertículo de Meckel complicado se solicitó una tomografía abdominal que certificó el diagnóstico. El primero era un paciente de 67 años que consultó por dolor centroabdominal y vómitos de 2 días de evolución, sin respuesta al tratamiento médico. La tomografía evidenció la presencia de un saco diverticular de características inflamatorias dependiente del intestino delgado, asociado a niveles hidroaéreos marcados. El segundo corresponde a un joven de 17 años que consultó por guardia por episodios de hematoquezia de 36 horas de evolución, con repercusión hemodinámica, en el cual la videocolonoscopía no evidenció sangrado colónico. La tomografía mostró un fondo de saco ciego a expensas del intestino delgado con presencia de contraste en su interior (Fig. 2).

Figura 2. Tomografía abdominopelviana que evidencia la presencia de una estructura tubular en fondo de saco ciego con contraste en su interior, compatible con divertículo de Meckel.
Tratamiento quirúrgico
El 68% de los pacientes (17) se trató mediante diverticulectomía (Fig. 3 A y B), mientras que al 32% restante (8) se le realizó resección ileal con anastomosis termino-terminal (Fig. 3 C). El abordaje utilizado fue predominantemente laparotómico (64%) mediante incisión de Mc Burney, principalmente durante los primeros años del estudio, mientras que al 36% se le realizó laparoscopía.

Figura 3. Tratamiento quirúrgico de distintos divertículos de
Meckel. A. Exteriorización del intestino delgado con presencia en su borde
antimesentérico de un divertículo de más de 5 cm de longitud. B.
Diverticulectomía mediante aparato de sutura mecánica intracorpórea (flecha). C. Resección del segmento de intestino
delgado que incluye un divertículo de base ancha e indurada.
Complicaciones
Se registró una complicación IIIb de la clasificación de Clavien-Dindo en un paciente pediátrico, el cual fue derivado para realización de drenaje percutáneo. No hubo mortalidad asociada.
Análisis histopatológico
Los divertículos presentaban epitelio de tipo intestinal, asociado a vasocongestión y edema. En un solo caso (4%) se encontró la presencia de epitelio de tipo gástrico, constituido por proyecciones polipoides, glándulas fúndicas en la lámina propia y páncreas ectópico. Esto corresponde al paciente que se presentó con hemorragia digestiva masiva. No se identificaron neoplasias malignas.
DISCUSIÓN
El divertículo de Meckel fue descrito por primera vez en un artículo publicado por el anatomista alemán Johann Friedrich Meckel en 1809. Su ocurrencia en hombres y mujeres es igual, aunque según Park et al,2 la incidencia de divertículos complicados es mayor en hombres con una proporción de 3:1. En nuestra serie fue de 5:1.
El divertículo suele estar ubicado en el borde antimesentérico a una distancia promedio de 46 cm de la válvula ileocecal. Tiene una longitud media de 3 a 5 cm, posee las tres capas de la pared intestinal y su suministro arterial es a través de la arteria mesentérica superior. Se encuentra revestido principalmente de mucosa ileal típica, como el intestino delgado adyacente, pero debido a que las células del canal vitelino son pluripotentes, puede encontrarse la presencia de tejido heterotópico como células gástricas (50%), tejido pancreático (5%) y más raramente tejido hepatobiliar, glándulas duodenales, colónicas, endometriales o de Brunner.3
La presentación clínica más común en el adulto es el sangrado intestinal, que ocurre en el 25-50% de los pacientes, mientras que en los menores de 2 años predomina la obstrucción intestinal.
La hemorragia digestiva puede ser de aguda o crónica. El principal mecanismo de sangrado es la secreción ácida de la mucosa ectópica, que conduce a ulceración de la mucosa ileal adyacente.
La etiología de la obstrucción
intestinal es diversa, puede ser debida a una banda fibrosa que se extiende
desde el divertículo hasta el ombligo (14-53%), ulceración (<4%);
intususcepción, hernia de Littre o estenosis secundaria a diverticulitis
crónica.3,4 Según el estudio publicado por Sharma et al,5 la
diverticulitis representa el 20% de los casos de divertículo de Meckel sintomáticos,
aunque en nuestra serie, su incidencia fue considerablemente más alta,
alcanzando el 80% de los casos. La fisiopatología es análoga a la de la
apendicitis aguda y la clínica simula ese cuadro clínico, por lo que debe
considerarse como el principal diagnóstico diferencial en aquellos pacientes
que se presentan con dolor en fosa iliaca derecha.
El diagnóstico preoperatorio del divertículo de Meckel sigue siendo un desafío. El uso de ultrasonido, rayos X, angiografía, tomografía o resonancia magnética, pueden ayudar al diagnóstico pero la sensibilidad y especificidad son bajas.5 Sin embargo, contribuyen al demostrar la presencia de niveles hidroaéreos sugestivos de obstrucción de intestino delgado, o al identificar un apéndice cecal con características normales, incrementando así la sospecha de un divertículo complicado.
La exploración con pertecnato de tecnecio-99 marcado es forma de investigación no invasiva más precisa para determinar la presencia del divertículo de Meckel debido a la propensión del trazador a concentrarse en la mucosa gástrica ectópica.6 En niños tiene una sensibilidad del 80-90%, una especificidad del 95% y una precisión del 90%, pero en los adultos es menos fiable, con una sensibilidad del 62,5%, una especificidad del 9% y un precisión del 46%.3 Sin embargo, su disponibilidad en los centros de atención, se ve muy limitada.
En esta serie, solo en dos casos se realizó un diagnóstico preoperatorio de divertículo de Meckel complicado, confirmado mediante tomografía computada con contraste oral que mostró una estructura tubular en fondo de saco ciego a expensas del intestino delgado.
El tratamiento de elección para el divertículo de Meckel sintomático es la resección quirúrgica. Esto puede lograrse por diverticulectomía o por resección intestinal segmentaria y anastomosis.1 La extensión de la resección se determina según los hallazgos intraoperatorios y las características del remanente onfalomesentérico. Se han estudiado los criterios de apariencia externa, concluyendo que los divertículos largos pueden ser removidos por simple resección transversal con una grapadora ya que la presencia de tejido ectópico suele alojarse en su extremo distal, pero en los divertículos cortos puede ocurrir en cualquier área, por lo que se recomienda el análisis de la base del mismo. En el caso de una base estrecha, sin presencia de masa palpable dentro de la luz del íleon, puede optarse por una resección en cuña simple, seguida de cierre primario del defecto. Por otra parte, si la base es ancha, se palpa tejido heterotópico en cercanías de la base o existen alteraciones inflamatorias o isquémicas asociadas, puede optarse por la resección de un segmento ileal y posterior anastomosis término-terminal manual o con dispositivos de grapado.
En cuanto a la forma de abordaje, la cirugía abierta se ha utilizado durante mucho tiempo como un método eficaz para lidiar con el divertículo complicado de Meckel. Sin embargo, en la era de cirugía mínimamente invasiva, el manejo laparoscópico se ha convertido tanto en un medio de diagnóstico como terapéutico muy apropiado.7-11
CONCLUSIONES
En nuestra experiencia el divertículo de Meckel complicado se presentó predominantemente en hombres. La complicación más frecuente en el adulto fue la diverticulitis, por lo que el diagnóstico presuntivo más habitual fue apendicitis aguda. El diagnóstico preoperatorio fue infrecuente y realizado por tomografía computada. En dos tercios de los casos el tratamiento fue la diverticulectomía. Actualmente, la laparoscopia es una herramienta segura, rentable y eficiente que permite el diagnóstico y tratamiento oportunos. Todos los cirujanos deben tener presente esta entidad ante un síndrome abdominal atípico que podría revelar una complicación del divertículo, o por la posibilidad de su hallazgo fortuito durante una cirugía por otra causa.
REFERENCIAS
1. Hansen CC, Søreide K. Systematic review of epidemiology, presentation, and management of Meckel's diverticulum in the 21st century. Medicine (Baltimore). 2018; 97: e12154.
2. Park JJ, Wolff BG, Tollefson MK, Walsh EE, Larson DR. Meckel diverticulum: the Mayo Clinic experience with 1476 patients (1950-2002). Ann Surg. 2005; 241: 529-33.
3. Sagar J, Kumar V, Shah DK. Meckel's diverticulum: a systematic review. JRSoc Med. 2006; 99: 501-5.
4. Kuru, Serdar. Meckel's diverticulum: clinical features, diagnosis and management. Rev Esp Enf Dig. 2018; 110: 726-32.
5. Sharma RK, Jain VK. Emergency surgery for Meckel's diverticulum. World J Emerg Surg. 13;3:27.
6. Levy, A. Meckel diverticulum: radiologic features with pathologic correlation. RadioGraphics. 2004; 24:565-87.
7. Martin JP, Connor PD, Charles K. Meckel's diverticulum. Am Fam Physician. 2000; 61: 1037-42.
8. Sanders, LE. Laparoscopic treatment of Meckel's diverticulum. Surg Endosc. 1995; 9: 724-27.
9. Chan KW, Lee KH, Mou JW, Cheung ST, Tam YH. Laparoscopic management of complicated Meckel's diverticulum in children: a 10-year review. Surg Endosc. 2008; 22:1509-12.
10. Hosn MA, Lakis M, Faraj W, Khoury G, Diba S. Laparoscopic approach to symptomatic meckel diverticulum in adults. JSLS. 2014; 18: e2014.00349.
11. Parvanescu A, Bruzzi M, Voron T et al. Complicated Meckel's diverticulum: Presentation modes in adults. Medicine. 2018; Sep; 97(38): e12457.