REPORTE DE CASO
Várices colónicas idiopáticas
Sasha Reiderman 1,
Cristian Nicolás Lucas 2, Pablo Roberto Catalano 3.
Sanatorio Franchín,
Buenos Aires, Argentina.
1 Residente de Cirugía
General
2 Médico de Staff de la Sección Coloproctología y de Cirugía General
3 Jefe de Sección Coloproctología y médico de Staff de Cirugía General
RESUMEN
Las várices colónicas son muy poco frecuentes y una causa excepcional de hemorragia digestiva baja recurrente. En la mayoría de los casos se asocian a hipertensión portal. Se consideran idiopáticas cuando la etiopatogenia obedece a una enfermedad vascular congénita. Estas tienen mayor asociación familiar y son más frecuentemente pancolónicas que en los casos no idiopáticos.
Las várices colónicas se diagnostican por videocolonoscopía y se debe investigar la presencia de factores de riesgo clínicos para enfermedad protrombótica y realizar estudios imagenológicos para descartar hipertensión portal u obstrucción venosa asociada. El tratamiento es fundamentalmente sintomático.
Presentamos un caso de varices colónicas idiopáticas en una paciente femenina de 16 años que debuta con hemorragia digestiva baja. El objetivo de esta presentación es evaluar el comportamiento de una patología muy poco frecuente y revisar la literatura relacionada.
Palabras clave: várices colónicas, hemorragia digestiva baja, angiodisplasias.
ABSTRACT
Colonic varices are very rare and an exceptional cause of recurrent lower GI bleeding. In most cases they are associated with portal hypertension. They are considered idiopathic when the etiopathogenesis is due to a congenital vascular disease. These have a greater familial association and are more frequently pancolonic than in non-idiopathic cases.
Colonic varices are diagnosed by colonoscopy. The presence of clinical risk factors for prothrombotic disease should be investigated and imaging studies perform to rule out portal hypertension or associated venous obstruction. Treatment is mainly symptomatic.
We report a case of idiopathic colonic varices in a 16-year-old female patient who presented with lower gastrointestinal bleeding. The aim is to evaluate the behavior of a very rare condition and to review the related literature
INTRODUCCIÓN
Las várices colónicas constituyen una entidad poco frecuente. Usualmente son detectadas por videocolonoscopía y en la mayoría de los casos se asocian a hipertensión portal.(1) La incidencia de las varices colónicas, independientemente de su causa, se calcula en 0,07 % y se diagnostican por colonoscopia de rutina o de urgencia. Son causa excepcional de hemorragia digestiva baja recurrente.(2)
Las varices colónicas idiopáticas son las dilataciones venosas submucosas del colon, cuya etiopatogenia obedece a una enfermedad vascular congénita, en ausencia de una causa gatillo y sin otra condición médica asociada. Son extremadamente inusuales, más frecuentes en hombres, con una edad media de 41 años al diagnóstico. Tienen mayor asociación familiar y son más frecuentemente pancolónicas que en los casos no idiopáticos.(3) Existe muy poca información en la literatura, con alrededor de 30 casos reportados por autores ingleses. (4)
Las varices colónicas idiopáticas deben diferenciarse de aquellas que ocurren en forma secundaria a la hipertensión portal, ya sea por cirrosis o por otras causas asociadas a una obstrucción de la vena porta.(5-7)
Durante la colonoscopía por sangrado activo, la insuflación puede colapsar estas malformaciones vasculares, pudiendo confundirse con mucosa normal, pólipos o incluso carcinomas (8, 9). El gold standard para el diagnóstico es la angiografía mesentérica. Este método permite identificar las varices y, de existir sangrado mayor a 5ml/min, detectar el lugar específico de la fuga y realizar el tratamiento con embolización. (9)
CASO CLÍNICO
Paciente femenina de 16 años, sin antecedentes personales o familiares de relevancia, que consulta por guardia por proctorragia de 7 días de evolución con último episodio hace 6 horas, palpitaciones y síncope. Niega alteraciones del ritmo evacuatorio y pérdida de peso. Refiere haber consultado la semana previa por síntomas similares sin alteraciones hemodinámicas, diagnosticándose sangrado por enfermedad hemorroidal, por lo que recibió tratamiento médico.
Al ingreso presenta taquicardia, disnea clase funcional III, palpitaciones e hipovolemia grado 2 de la clasificación del American College of Surgeons. El abdomen es blando, depresible, levemente doloroso a la palpación profunda en flanco derecho. Tacto rectal positivo para sangre roja rutilante.
Laboratorio de ingreso: hematocrito 25%, hemoglobina 8,6g/dl, glóbulos blancos 7400/mm3, plaquetas 226000/mm3, tiempo de protrombina 90,5%, KPTT 30,6 segundos. Se realiza transfusión de 1 unidad de glóbulos rojos y expansión con cristaloides. Con la paciente compensada y sin signos de sangrado activo, se decide realizar estudios complementarios.
La videoendoscopia digestiva alta informa gastritis erosiva leve, sin signos de sangrado activo. La videocolonoscopia muestra desde el ciego hasta el colon descendente cordón venoso azulado, tortuoso y prominente que disminuye con la insuflación, sin evidencia de sangrado activo.
Diagnóstico: várices colónicas con afectación predominante del colon derecho, transverso y descendente. (Fig. 1 A y B)

A B

Figura 1. Videocolonoscopía. Se observan las várices colónicas tortuosas en la submucosa. A. Lesiones de aspecto nodular. B. Vasos serpiginosos.
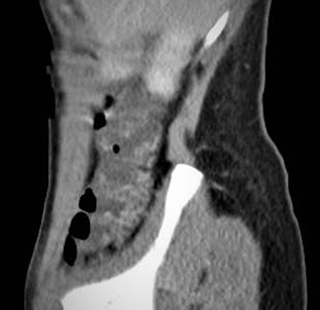
La angiotomografia informó alteraciones de las estructuras vasculares, observándose imágenes compatibles con várices que comprometen el colon derecho y se extienden hasta el recto. También se observa marcado compromiso del íleon terminal y cambios del grosor de las ramas de los vasos mesentéricos, algunos dilatados, comprometiendo especialmente las venas mesentéricas superior e inferior. No se visualizan zonas estenóticas en el colon ni en intestino delgado. Recto y grasa regional sin alteraciones. Si bien se observa un aumento de la vasculatura a dicho nivel, es menor que la descripta y visualizada principalmente en el colon derecho e íleon terminal. Calibre de la vena porta 12mm y de la vena esplénica 4mm. No se observó trombosis venosa (Fig. 2 A y B).

B A

Figura 2. Angiotomografía computarizada. A. Corte coronal. Várices colónicas y engrosamiento y dilatación de ramas de las venas mesentérica superior e inferior. B. Corte sagital. Varices colónicas.
La ecografia abdominal y el ecodoppler portal y de miembros inferiores mostraron hígado de ecoestructura conservada, velocidad de flujo normal tanto en la vena porta como en la vena cava inferior, sin signos de hipertensión portal, ni de trombosis de los miembros inferiores.
La función hepática, serologías para hepatopatías virales o autoinmunes como los estudios imagenológicos de estructura del parénquima fueron normales. Se descartó la presencia de marcadores compatibles con fenómenos protrombóticos. La paciente evolucionó sin evidencia de nuevo sangrado. Se progresó dieta y se indicó diosmina 500 mg vía oral cada 8 hs, egreso sanatorial y control ambulatorio.
Durante el seguimiento, la paciente presenta un episodio aislado de proctorragia en el domicilio, sin otros síntomas asociados y con valores estables de hematocrito y hemoglobina.
Se solicitó a los familiares directos realizarse una colonoscopía para evaluar probable incidencia familia, sin evidenciar varices colónicas en ningún caso.
DISCUSIÓN
El sangrado digestivo bajo secundario a varices colónicas es una entidad poco frecuente. Muchos pacientes presentan múltiples episodios de hemorragia antes de llegarse al diagnóstico correcto. Pueden presentarse con cuadros de hematoquecia intermitente o severa que indiquen el estudio del tubo digestivo o ser hallazgos incidentales durante una colonoscopia. (10) El sangrado se origina con mayor incidencia en el territorio de la vena mesentérica inferior y en un número menor en la mesentérica superior (11).
Nuestra paciente se presenta con un primer episodio de proctorragia leve que se repite luego de una semana de forma severa. Una vez realizado el diagnóstico de várices colónicas mediante la colonoscopía y su confirmación con la angiotomografía, se investigó la presencia de enfermedades asociadas, sin encontrarse una causa de hipertensión portal, por lo que se llegó al diagnóstico de várices colónicas idiopáticas con afectación ileal. La ausencia de patología en los familiares estudiados descartó su origen familiar. Las varices colónicas idiopáticas familiares, son malformaciones venosas cuya etiopatogenia se asocia a una enfermedad vascular congénita altamente infrecuente, con una incidencia familiar del 28%.(12)
Debido a la baja frecuencia de esta patología, el tratamiento no está claramente definido. Puede recomendarse dieta no constipante e incluso utilización de laxantes y suplementos de hierro.
En los casos de hemorragia activa que no altera la estabilidad hemodinámica, está descripta la escleroterapia o la ligadura con bandas. Cuando la hemorragia no se autolimita y pone en riesgo la estabilidad hemodinámica del paciente, se debe evaluar un tratamiento invasivo, ya sea mediante hemodinamia o cirugía con resección colónica del segmento afectado. (3,13)
Referencias
1. Hernández Cubas MO, Mederos Ramírez T, López Mejía VM. Informe de un paciente diagnosticado de várices colónicas idiopáticas. Acta Med Centro. 2016; 10.
2. Solis-Herruzo JA. Familial varices of the colon diagnosed by colonoscopy. Gastrointest Endosc 1977; 24:85-6.
3. Sunkara T, Caughey ME, Culliford A, Gaduputi V. idiopathic isolated colonic varices: an extremely rare condition. J Clin Med Res. 2018; 10:63-5.
4. Han JH, Jeon WJ, Chae HB, Park SM, Youn SJ, Kim SH, et al. A case of idiopathic colonic varices: a rare cause of hematochezia misconceived as tumor. World J Gastroenterol. 2006; 12:2629-32.
5. Gentilli S, Aronici M, Portigliotti L, Pretato T, Garavoglia M. Idiopathic ileo-colonic varices in a young patient. Updates Surg. 2012; 64:235-38.
6. Francois F, Tadros C, Diehl D. Pan-colonic varices and idiopathic portal hypertension. J Gastrointestin Liver Dis. 2007; 16:325-28.
7. Krishna RP, Singh RK, Ghoshal UC. Recurrent lower gastrointestinal bleeding from idiopathic ileocolonic varices: a case report. J Med Case Rep. 2010; 4:257.
8. Grasso E, Sciolli L, Ravetta F, Pelloni A. A rare case of idiopathic colonic varices: case report and review of the literature. Chirurgia. 2012; 25:111-14.
9. Place RJ. Idiopathic colonic varices as a cause of lower gastrointestinal bleeding. South Med J. 2000; 93:1112-14.
10. Dina I, Braticevici CF. Idiopathic colonic varices: case report and review of literature. Hepat Mon. 2014; 14:e18916.
11. Federle, M., Clark, R.A. Mesenteric varices: A source of mesosystemic shunts and gastrointestinal hemorrhage. Gastrointest Radiol. 1979; 4: 331-37.
12. Iredale JP, Ridings P, McGinn FP, Arthur MJ. Familial and idiopathic colonic varices: an unusual cause of lower gastrointestinal haemorrhage. Gut. 1992; 33:1285-88.
13. Boland P, Leonard J, Saunders M, Bursey F. Familial idiopathic small-bowel and colonic varices in three siblings. Endoscopy. 2014; 46: 893-97.