Reporte de caso
DOI: https://doi.org/10.46768/racp.v0i0.159
Tumor neuroendócrino de recto en una paciente con mutación BRCA2 (exon 23)
María Micaela Goya,1 Mateo Santillán,1 Sofia Akselrad,2 Nicolás Avellaneda,1 Augusto Carrié,1
Centro de Educación Médica e Investigaciones Clínicas “Norberto Quirno” (CEMIC). Ciudad de Buenos Aires, Argentina.
1Departamento de Cirugía General. 2Departamento de Patología.
Los autores declaran ausencia de conflictos de interés.
Nicolás Avellaneda
Recibido: octubre de 2021. Aceptado: diciembre de 2021.
Micaela M. Goya: 0000-0003-4597-1698
Mateo Santillán: 0000-0002-9663-8601
Sofía Akselrad: 0000-0002-6757-8160
Nicolás Avellaneda: 0000-0002-6802-7125
Agusto Carrié: 0000-0003-4226-7240
RESUMEN
En el estudio de las mutaciones genéticas que influyen en el desarrollo de los tumores neuroendócrinos (NET) se han encontrado asociaciones al gen BRCA2. A la fecha no se han encontrado descripciones de NETs del recto con mutación BCRA2.
Palabras clave: Carcinoma neuroendocrino; BCRA2; Recto
ABSTRACT
In the study of genetic mutations that influence the development of neuroendocrine tumors (NETs), associations with the BRCA2 gene have been found. To date, no descriptions of BRCA2-mutated rectal NETs have been found.
Key words: Neuroendocrine Carcinoma; BCRA2; Rectum
INTRODUCCIÓN
En el estudio de los NET se hallaron variantes germinales patogénicas en genes involucrados en la reparación del ADN (MUTYH, CHEK2 y BRCA2) principalmente en tumores de páncreas y próstata.1
CASO CLÍNICO
Paciente femenina de 62 años con antecedentes de tabaquismo, dislipemia y peritonitis apendicular y mutación germinal BRCA2 (hallazgo por múltiples antecedentes familiares) con salpingooforectomía bilateral de reducción de riesgo.
Luego de 30 años del diagnóstico de la mutación BRCA2, una videoendoscopía digestiva baja evidenció un pólipo sésil con erosión central de aproximadamente 5 mm, 11 cm proximal al margen anal, al que se le realizó resección mucosa endoscópica.
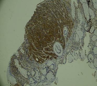
La biopsia reportó un tumor neuroendocrino bien diferenciado G2 con infiltración del corion y el margen de resección comprometido. La técnica de inmunohistoquímica fue positiva para cromogranina, sinaptofisina y Ki 67: 10% (Fig. 1).

Figura 1. Mucosa colónica con una proliferación neoplásica de células con núcleos redondeados hipercromáticos, en sal y pimienta que se disponen en rosetas.
Un PET de estadificación evidenció captación focal en la pared derecha del recto (SUV máx 5,2) y ausencia de metástasis a distancia. Por la invasión del margen profundo, se decidió realizar una resección anterior del recto por vía abdominal con anastomosis primaria (2,3) (Fig. 2). La paciente evolucionó favorablemente y se otorgó el alta sanatorial al tercer día postoperatorio.


Figura 2. Pieza quirúrgica donde se observa la cicatriz de la resección endoscópica previa (flechas).
No se encontraron lesiones residuales en la pieza quirúrgica, ni hallazgos de invasión vascular, linfática o perineural. Resección ganglionar negativa para células neoplásicas.
Acorde a las guías sobre manejo de los NET, los pacientes con este tipo (resección completa, lesión menor de un cm, con bajo riesgo de metástasis) no requieren seguimiento intensivo.2,3 Sin embargo, teniendo en cuenta la historia familiar de cáncer y la mutación BRCA2, la paciente continuará en un año con una nueva videocolonoscopía.
DISCUSIÓN
La mutación del gen BRCA2, asociado a la reparación del ADN, es una mutación conocida asociada al cáncer de ovario y mama. En un meta-análisis reciente el cáncer colorrectal ha sido asociado a mutaciones BRCA1 pero no al BRCA 2.4 En los últimos diez años se han hallado muchas otras neoplasias malignas asociadas a mutaciones en el gen BRCA2, incluyendo las del páncreas y la próstata.1
Al momento no se han presentado casos sobre tumores neuroendocrinos de recto asociados a mutaciones BRCA2. Publicamos este caso con el fin de colaborar con la evidencia disponible para lograr una mayor comprensión de este poco frecuente tipo de tumores.
REFERENCIAS
1. Szybowska M, Mete O, Weber E, Silver J, Kim RH. Neuroendocrine Neoplasms Associated with Germline Pathogenic Variants in the Homologous Recombination Pathway. Endocrine Pathology 2019; 30(3):237-45.
2. Neuroendocrine and Adrenal Tumors, Version 2.2021, NCCN Clinical Practice Guidelines in Oncology. J Natl Compr Canc Netw 2021 Jul 28; 19(7):839-68.
3. Caplin M, SundinA, Nillson O. ENETS Consensus Guidelines for the Management of Patients with Digestive Neuroendocrine Neoplasms: Colorectal Neuroendocrine Neoplasms. Neuroendocrinology 2012; 95, 88–97.
4. Oh M, Alkhushaym N, Fallatah S, Althagafi A, Aljadeed A et al. The association of BRCA1 and BRCA2 mutations with prostate cancer risk, frequency, and mortality: A meta-analysis. Prostate 2019; 79(8):880-95.
5. Moynahan ME, Pierce AJ, Jasin M. BRCA2 is required for homology-directed repair of chromosomal breaks. Mol Cell 2001; 7(2):263-72.