Resección multivisceral en el cáncer del colon localmente avanzado.
Comunicación de un caso clínico por un equipo multidisciplinario universitario y análisis de la literatura
Alejandra Liz1, Álvaro Lavega1, Isabel Gabito1, Lucía Pérez1, Marcelo Viola1, Marcelo Diamant2, Nicolas Casales3, Claudio Silveri3
Hospital Pasteur, Facultad de Medicina, UdelaR, Montevideo, Uruguay.
1- Servicio de Cirugía General.
2- Servicio de Cirugía Vascular.
3- Unidad de Patología Oncológica Musculoesquelética (UPOME).
Alejandra Liz: 0000-0002-1530-4782
Álvaro Lavega: 0000-0002-0993-6847
Isabel Gabito: 0000-0002-1096-7982
Lucía Pérez: 0000-0002-8709-1472
Marcelo Viola: 0000-0003-2733-5276
Marcelo Diamant: 0000-0001-9708-6688
Nicolas Casales: 0000-0003-0318-8654
Claudio Silveri: 0000-0002-2607-7749
Los autores declaran ausencia de conflictos de interés.
Recibido: marzo de 2021. Aceptado: septiembre de 2021.
RESUMEN
Las resecciones multiviscerales (RMV) en el cáncer colorrectal son intervenciones técnicamente complejas. Persiguen un fin curativo mediante la resección en bloque del tumor y los órganos adheridos con márgenes libres. Requieren una evaluación preoperatoria adecuada y un amplio conocimiento de la anatomía y las modificaciones causadas por el tumor y los tratamientos oncológicos coadyuvantes. En las RMV pueden confluir varias especialidades quirúrgicas como la cirugía digestiva, urológica, ortopédica, ginecológica y reparadora, además de oncología, radioterapia, psicología y fisiatría, entre otras. Las RMV pueden determinar una morbilidad considerable con secuelas anatómicas y funcionales, por lo que los pacientes deben ser correctamente seleccionados.
Presentamos el caso clínico de una paciente con un cáncer del colon izquierdo fistulizado al músculo ilíaco y la pared abdominal, que se trató mediante un abordaje multidisciplinario, realizando una RMV compleja en bloque con la participación de cirujanos colorrectales, vasculares, traumatólogos, cirujanos plásticos, fisiatras y todo el equipo de soporte.
Palabras clave: Cáncer del colon localmente avanzado; Resecciones multiviscerales; Resección en bloque; Equipo multidisciplinario
ABSTRACT
Multivisceral resections (MVR) in colorectal cancer are technically complex interventions. They pursue a curative aim through en-bloc resection of the tumor and attached organs with free margins. They require an adequate preoperative evaluation and extensive knowledge of the anatomy and the modifications caused by the tumor and the adjuvant oncological treatments. Various surgical specialties such as digestive, urological, orthopedic, gynecological and reconstructive surgery, as well as oncology, radiotherapy, psychology and physiatry, among others, can come together in the RMV. MVR can cause considerable morbidity with anatomical and functional sequelae, so patients must be carefully selected.
We present the clinical case of a patient with left colon cancer fistulized to the iliac muscle and the abdominal wall, who was treated with a multidisciplinary approach, performing a complex en-bloc MVR, with the participation of colorectal, vascular, orthopedic and plastic surgeons, physiatrists and the entire support team.
Keywords: Locally Advanced Colon Cancer; Multivisceral Resections; En Bloc Resection; Multidisciplinary Team
CASO CLÍNICO
Paciente de 53 años que consultó por dolor en fosa ilíaca izquierda y dificultad en la marcha. La tomografía computada (TC) abdominopélvica evidenció un absceso del músculo ilíaco izquierdo y un engrosamiento del colon izquierdo.
Se realizó el drenaje percutáneo de la colección, obteniendo escaso líquido mucinoso.En la evolución desarrolló una obstrucción intestinal que requirió una colostomía en asa transversa de detransitación, al comprobarse un tumor del colon descendente que infiltraba ampliamente los vasos ilíacos y el músculo psoas ilíaco izquierdo.
Se completó la valoración con una videocolonoscopía que evidenció sobre la unión descendente sigmoidea una lesión de aspecto velloso con abundante moco, cuya biopsia mostró un adenoma con displasia de alto grado (Fig. 1).
Figura 1: Se puede ver el abundante contenido mucinoso de la lesión que dificultaba la visión.
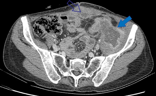
Una nueva TC de estadificación demostró la infiltración tumoral del músculo ilíaco y el nervio crural izquierdo. La arteria ilíaca externa se encontraba en íntimo contacto sin invasión aparente. Se objetivó una colección sobre la pared abdominal con relación a la cicatriz mediana (Fig. 2). No había evidencia de diseminación a distancia. Los marcadores tumorales CEA y CA 19-9 fueron normales.

Figura 2: Se observa el engrosamiento del colon descendente fistulizado hacia el músculo ilíaco izquierdo, con una colección en su interior (flecha sólida). b) Otra pequeña colección ubicada debajo de la línea media también se incluyó en la resección (flecha vacía).
Durante este período, la paciente agregó supuración sobre la herida y una celulitis sobre la fosa ilíaca izquierda (Fig. 3).

Figura 3: Se observa el área inflamatoria que corresponde al compromiso cutáneo del tumor (flecha sólida) y el orificio fistuloso de la cicatriz de la incisión mediana (flecha vacía).
El diagnóstico preoperatorio fue de cáncer del colon izquierdo fistulizado al músculo ilíaco izquierdo y a la pared abdominal. Se conformó un equipo multidisciplinario con servicios de oncología, cirugía general, vascular, ortopedia y reparadora, decidiendo realizar una RMV con criterio curativo. La cirugía consistió en una colectomía izquierda ampliada con resección en bloque del músculo ilíaco, el nervio crural, la cresta ilíaca y la pared anterolateral del abdomen (Figs. 4, 5, 6 y 7). La anastomosis colorrectal quedó protegida con la colostomía transversa previamente confeccionada.

Figura 4: Etapa de la resección en bloque que incluye el área del drenaje percutáneo del absceso (región cefálica a la derecha de la imagen).

Figura 5: Resección de la cresta ilíaca izquierda con sierra de Gigli (región cefálica a la derecha).
Figura 6: Extracción de la pieza en bloque. Puede verse completamente disecada la arteria ilíaca externa a su paso por la arcada crural incluida en la resección (región cefálica a la derecha).

Figura 7: Lecho quirúrgico. Se observa el hueso ilíaco seccionado y la resección completa del músculo ilíaco izquierdo. La arteria ilíaca izquierda está completamente liberada (región cefálica a la derecha).
La anatomía patológica informó un carcinoma mucinoso pT3N0 (0/14), R0 (Fig. 8).
Figura 8: Pieza de resección en bloque del colon izquierdo, el músculo ilíaco y la pared anterolateral izquierda del abdomen, con los drenajes percutáneos incluidos para obtener un margen oncológico adecuado.

Figura 9: Etapa de reconstrucción con rotación de un colgajo anterolateral del muslo derecho.
En un segundo tiempo, se realizó la cobertura de la pared abdominal faltante con un colgajo anterolateral del muslo derecho (fig. 9).
La paciente tuvo una excelente evolución sin complicaciones mayores ni secuelas funcionales graves, quedando con una cojera de la pierna izquierda que soluciona con bastón. Sin recaída a los 11 meses de la cirugía. Con el resultado anatomopatológico, el equipo de oncología decidió no realizar tratamiento adyuvante por lo que se encuentra con control clínico, humoral e imagenológico seriados. Dada la situación sanitaria mundial (pandemia COVID 19), la paciente se encuentra en espera para el cierre del ostoma.
DISCUSIÓN
Los tumores colorrectales localmente avanzados con invasión a órganos vecinos (T4b) se observan en el 5 al 20 % de los pacientes.1
Parte del abordaje oncológico adecuado incluye la resección multivisceral en bloque de los órganos y estructuras involucradas.2,3 Esta se define como la resección de cualquier órgano o estructura a la cual el tumor se encuentra adherido.4 Las principales guías clínicas concuerdan que el manejo quirúrgico apropiado de estos tumores localmente avanzados debe incluir la RMV amplia con criterio curativo mediante la obtención de márgenes libres (R0).5,6 Esto se debe a que la diferenciación entre adherencias inflamatorias y neoplásicas no es posible sin el análisis anatomopatológico.1 La infiltración tumoral de los tejidos vecinos se encuentra en el 45 al 70 % de los casos, correspondiendo el resto a adherencias inflamatorias.7 Sin embargo, no se recomienda la liberación del tejido macroscópicamente infiltrado debido al riesgo de perforación, siembra tumoral y posibilidad de dejar enfermedad residual (R1, R2) con tasas elevadas de recaída (69 vs. 28 %).4
La necesidad de realizar una resección extendida ha sido reconocida como efectiva desde que Sugarbaker8 publicó en 1946 la primera gran cohorte de RMV para el cáncer colorrectal avanzado, con una supervivencia libre de enfermedad del 56 %. Esto se ha reproducido en otro estudio comparativo donde la colectomía estándar, la resección extendida y la colectomía con liberación de los órganos adheridos mostró tasas de sobrevida supervivencia del 55 , 61 y 23 %, respectivamente.9 Campos et al.1 mostraron tasas de resección R0 del 84,4 %, con supervivencia a 5 años del 64 % y recurrencia del 32,4 %.Del mismo modo, López Cano et al.2 publicaron tasas de R0 del 85 % con supervivencia a 5 años del 48 %.
En todos los estudios se concluye que una resección R0 es el factor pronóstico más importante en la supervivencia, lo que puede lograrse en el 70-90 % de los casos con una buena planificación.6,10 La resección incompleta es el principal factor de pobre pronóstico de supervivencia.
La RMV con criterio paliativo no es una opción ideal dada la morbilidad asociada con el procedimiento. Puede considerarse en el caso de enfermedad metastásica o recurrente, analizando caso por caso y frente a la falta de otras opciones terapéuticas alternativas.3
Con respecto a las complicaciones de las RMV, los porcentajes varían del 20 al 50 % y la mortalidad entre el 1, 7 y el 13 %.3 La tasa de morbilidad GIII (según la escala de Clavien Dindo) es similar a la de la resección estándar, siendo algo mayor la incidencia de complicaciones menores (GI) en el primer grupo.11 Rizkallah et al.7 comunicaron una morbilidad global del 37 % pero solo en el 10 % de los pacientes fue necesaria la reoperación o el uso de técnicas intervencionistas para el tratamiento de estas complicaciones.
A pesar de los beneficios demostrados en la sobrevida supervivencia la tasa de RMV es baja. Entre un 10 y un 30 % de los pacientes con tumores localmente avanzados llegan a realizarse estos procedimientos, como fue evidenciado por Govindarajan et al.6 que mostró una tasa de RMV de solo el 33 %.
La elección por una cirugía más limitada en lugar de una RMV puede deberse a varios factores relacionados con el cirujano y el paciente. El estudio preoperatorio insuficiente de los pacientes, la falla en reconocer la invasión de estructuras vecinas en el preoperatorio o el recelo a realizar una RMV (por falta de experiencia o de soporte asistencial perioperatorio), pueden llevar al manejo insuficiente de un paciente con enfermedad potencialmente curable.3 Por ejemplo, frente a una exenteración pélvica total que implica la creación de dos ostomas definitivos, los pacientes y los médicos pueden ser reacios a aceptar la morbilidad y las secuelas funcionales con modificaciones en el estilo de vida.3
Es más probable que los pacientes más jóvenes sean candidatos a resecciones radicales, reflejando la reticencia de los cirujanos a realizar grandes resecciones en pacientes añosos con comorbilidades mayores. Sin embargo, la edad no es una contraindicación per se si los pacientes se seleccionan adecuadamente.6
Existe un predominio de las RMV en el sexo femenino, probablemente debido a que en los hombres las resecciones genitourinarias y la reconstrucción posterior son procedimientos más complejos.6
La topografía tumoral también incide en la decisión de realizar una RMV. Los tumores próximos al ángulo esplénico tienen menor probabilidad de ser resecados que los más distales (colon izquierdo, sigmoides, unión rectosigmoidea). Las resecciones ampliadas al hígado, vía biliar y páncreas requieren de mayor habilidad técnica para obtener un margen de resección adecuado.2
Por otra parte, la variabilidad en los porcentajes de RMV dependen también de las características de los centros asistenciales, aumentando en lugares especializados y donde se cuenta con equipos multidisciplinarios que ofrecen terapias multimodales.6 Para poder llevar a cabo estos procedimientos técnicamente demandantes, aumentar el número de tumores resecados y mejorar los resultados oncológicos y funcionales, hay que tener conocimientos anatómicos precisos en todas las áreas por lo que se puede (o debe) requerir la participación de otras especialidades como cirugía vascular, ortopedia, cirugía plástica, urología y ginecología, además de los cirujanos colorrectales, como sucedió en el caso presentado.
Las secuelas funcionales pueden minimizarse mediante un tratamiento en el que participan estomaterapeutas, psicólogos, fisiatras y personal de enfermería experimentado en rehabilitación y cuidado de pacientes operados de patologías tumorales complejas.
Estos pacientes deben ser evaluados siempre en un contexto multidisciplinario y una evaluación preoperatoria exhaustiva es indispensable para descartar contraindicaciones para la resección, evaluar el estado general del paciente, permitir la organización del equipo multidisciplinario y la planificación de diferentes estrategias intraoperatorias y predecir las complicaciones intra y postoperatorias. Si bien se considera que la experiencia quirúrgica tiene un impacto en el éxito de estos procedimientos, las RMV son cirugías poco realizadas, por lo que la conformación de un equipo multidisciplinario parece tener más relevancia que la experiencia individual de un cirujano.4
Esto fue lo que sucedió con este caso clínico. Se conformó un equipo de especialistas en las distintas áreas y se planteó un tratamiento en etapas, logrando una RMV R0, sin complicaciones postoperatorias y con un excelente resultado funcional.
REFERENCIAS
COMENTARIO
Los pacientes con tumores colorrectales localmente avanzados constituyen un desafío para el equipo tratante, ya que la chance más importante de curación depende de una resección completa con márgenes libres. Las adherencias a estructuras adyacentes no implican necesariamente infiltración tumoral, pero distintos estudios demuestran mejor supervivencia si se realizan resecciones extensas, por lo que desaconsejan la adherenciolisis en estos casos por incrementar el riesgo de recidiva. Como consecuencia, resulta imprescindible el estudio previo de los pacientes y la planificación en conjunto con el resto de las especialidades. Si es un hallazgo intraoperatorio, las chances de lograr una resección completa disminuyen por no contar con el equipo multidisciplinario completo.
En el caso presentado, es de destacar que actuaron con cautela y de forma criteriosa. Una resección de urgencia ante la primera consulta difícilmente hubiera terminado en un procedimiento satisfactorio. Haber pensado en el drenaje percutáneo y luego en la colostomía transversa, permitió estudiar correctamente el caso y planificar la cirugía de manera exitosa. Otro aspecto a resaltar es el trabajo en equipo, ya que contar con las distintas especialidades tiene mayor impacto que la idoneidad de un solo cirujano.
Llama la atención la decisión de no realizar tratamiento adyuvante al ser un carcinoma mucinoso que requirió una ostomía previa por oclusión de la luz.
En resumen, se ha presentado un caso complejo que fue resuelto, para bien de la paciente, satisfactoriamente.
Sebastián Guckenheimer
Hospital Dr. I. Pirovano. CABA, Argentina.